A distrofia muscular de duchenne (DMD), que é uma doença rara e grave, é a distrofia muscular mais comum em crianças. Ela é chamada assim em homenagem ao médico francês Duchenne de Boulogne, que a descreveu pela primeira vez no século 19.
Segundo pesquisadores da UFSCar, há uma incidência da DMD de cerca de 1 em 3.500 a 5.000 nascidos vivos do sexo masculino, no Brasil, anualmente, há relatos de aproximadamente 300 casos.
Para saber tudo sobre distrofia muscular de Duchenne, desde o que é até tratamento, continua a leitura. Fique de olho nos sintomas!
A distrofia muscular de Duchenne é uma doença genética rara e progressiva que afeta os músculos esqueléticos do corpo. Pacientes nessa condição, possuem a ausência ou deficiência de proteínas, principalmente a distrofina, que resulta em sintomas como fraqueza muscular progressiva.
A condição é causada por uma mutação no gene responsável pela produção justamente da proteína distrofina, que desempenha um papel crucial na estrutura e função e estabilidade da membrana do músculo.
A DMD geralmente se manifesta na infância, entre os 3 e 5 anos de idade em meninos, ainda que meninas possam carregar a mutação genética mas de forma assintomática.
Inicialmente, as crianças podem apresentar dificuldades para se levantar ou andar, e com o tempo, a fraqueza muscular piora, afetando atividades cotidianas como subir escadas ou levantar objetos pesados.
Pelo seu caráter degenerativo, a doença tende a progredir ao longo do tempo, afetando não apenas os músculos esqueléticos, mas também os músculos do coração e outros órgãos.

A Distrofia muscular de Duchenne é apenas uma das doenças em crianças. Cuide do seu pequeno!
A distrofia muscular de Duchenne é causada por uma mutação genética no cromossomo X, que é responsável por fornecer instruções para a produção da proteína distrofina. Cada mulher portadora tem 50% de chance de ter um filho homem com DMD e 50% de chance de ter uma filha portadora.
A distrofina desempenha um papel crucial na integridade estrutural das fibras musculares, permitindo que elas se contraiam e relaxem normalmente durante o movimento.
No entanto, em pessoas com distrofia muscular de Duchenne, o corpo não produz ou produz uma quantidade insuficiente de distrofina. Como resultado, as fibras musculares tornam-se fracas, se degeneram e são gradualmente substituídas por tecido adiposo (gordura) e fibrótico (cicatrizes), assim o músculo perde muito de suas capacidades de contração.
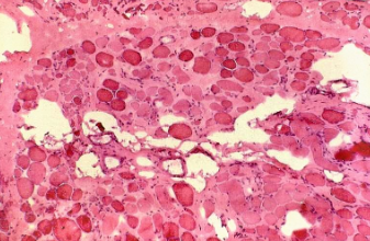
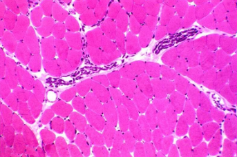
Veja um músculo saudável e um músculo com distrofia muscular de Duchenne
Fonte: anatpat.unicamp.br
Um pouco de biologia: a distrofia muscular de Duchenne é uma doença genética recessiva ligada ao cromossomo X. Isso significa que, geralmente, as mulheres são portadoras saudáveis da mutação em um dos seus cromossomos X, enquanto os homens, que têm apenas um cromossomo X e um cromossomo Y, desenvolvem a doença se herdarem o cromossomo X com a mutação. Por isso, devido à herança ligada ao cromossomo X, a distrofia muscular de Duchenne é mais comum em homens do que em mulheres.
Veja de forma ilustrativa o padrão de herança recessiva ligada ao cromossomo sexual x que mencionamos acima:

National Institutes of Health, 2010 – Editado por Henrique Jábali – CC BY-SA 3.0 – disponível no repositório digital Wikimedia Commons
Os sintomas da distrofia muscular de Duchenne geralmente aparecem na infância e pioram com o tempo. Alguns dos sintomas comuns incluem:
É importante notar que a progressão da distrofia muscular de Duchenne varia de pessoa para pessoa. Mas pode se seguir a tabela para compreensão das fases e seus sintomas correlativos:
| 2 a 4 anos | A criança possui dificuldade para andar e se levantar, quando está deitada ou sentada; e apresenta quedas frequentes. |
| 7 anos | A criança deixa de realizar atividades motoras comuns, como correr e subir em escadas. |
| 12 a 18 anos | O adolescente perde a capacidade de andar. |
*Os sintomas da distrofia muscular de Duchenne mencionados acima ainda podem contar com contratura, fadiga e demais sinais. Por se tratar de uma doença progressiva, é importante acompanhar todas as queixas e buscar o profissional ideal.
É comum que até os 12 anos as crianças com a condição usem apoios, como cadeira de rodas. Acompanhe o quadro da criança com cuidado.
Aqui também trouxemos dois exemplos comuns de como pode se notar visualmente uma criança com a distrofia muscular de Duchenne, veja:
Figura 1.

Fonte: DUCHENNE, 1868 – CC BY-SA 3.0 – disponível no repositório digital Wikimedia Commons
Figura 2.

GOWERS, 1879 – CC BY-SA 3.0 – disponível no repositório digital Wikimedia Commons
Na Figura 1. vemos o desenho de um menino de 7 anos com a DMD, ele apresenta pseudo-hipertrofia dos membros inferiores e hiperlordose lombar, ambos casos tratáveis por neurocirurgião. A Figura 2. é a ilustração de uma forma bastante comum de crianças com DMD se levantarem, chamada de Manobra de Gowers, que mostram a limitação do movimento das articulações e fraqueza muscular.
O diagnóstico precoce e o tratamento adequado dos sintomas específicos são fundamentais para melhorar a qualidade de vida de pacientes com distrofia muscular de Duchenne. Fale agora mesmo com um neurocirurgião e entenda como tratar sintomas motores e nervosos, principalmente.
Marque sua consulta com o Dr. Thiago
O diagnóstico para distrofia muscular de Duchenne se baseia em:

Todo tratamento quanto antes iniciado, mas eficaz se mostra.
Os tratamentos para distrofia muscular de Duchenne são multidisciplinares e contam com o objetivo de retardar o desenvolvimento da doença, controlar os sintomas e evitar complicações respiratórias e cardíacas, por isso, podem incluir:
Durante o tratamento, você contará com uma equipe de profissionais como médicos neurologistas e neurocirurgiões, ortopedistas, cardiologistas, além de fisioterapeutas e fonoaudiólogos
Há um estudo com células-tronco embrionárias sendo realizada realizado, segundo os estudiosos, o tratamento tende a formar os tecidos para substituição dos músculos afetados, que apresentam degeneração progressiva
Infelizmente, não há cura para a distrofia muscular de Duchenne até o momento. No entanto, existem tratamentos e terapias que podem ajudar a melhorar a qualidade de vida dos pacientes.
É importante ressaltar que, devido aos avanços na pesquisa médica, cientistas estão continuamente trabalhando para encontrar novas abordagens terapêuticas e eventualmente uma cura para a doença.
Enquanto isso, o suporte adequado, a terapia e o cuidado médico podem fazer uma diferença significativa na vida das pessoas com distrofia muscular de Duchenne.
Não é possível evitar a distrofia muscular de Duchenne, mas sim realizar um teste genético e entender as possibilidades de se preparar e, então, tratar melhor o quadro do paciente para que ele tenha uma boa qualidade de vida.
Mães de pacientes com DMD podem carregar a mutação genética e irmãs também podem ser portadoras. As genitoras podem ser encaminhadas para um aconselhamento genético devido ao risco de recorrência da doença em outros filhos. Os pais também devem realizar o teste.
Se você procura um médico especializado em neurologia em São Paulo que seja capaz de contribuir para o bem-estar do paciente de maneira efetiva, proporcionando um tratamento focado e individualizado, entre em contato e agende uma consulta com o Dr. Thiago Rodrigues.
O Dr. Thiago, neurocirurgião em SP, possui certificados nacionais e internacionais na área da neurologia para oferecer um atendimento de excelência para seus pacientes. Caso queira fazer uma avaliação, clique neste link!

Saiba tudo sobre o Thiago, conheça o profissional adequado para seu tratamento
Ignorar a dor e outros sintomas pode gerar sérias complicações. As explicações e recomendações aqui descritas não substituem a análise específica de cada quadro, realizada somente pelo profissional.
Por isso, busque o tratamento ideal com um nerocirurgião. Se você mora ou está na capital de SP, já marque sua consulta com o neurologista Dr. Thiago pelos meios:
Agende sua consulta agora mesmo pelo WhatsApp!
Gostou de saber mais sobre distrofia muscular de Duchenne? Então, confira outros artigos do nosso blog. 🙂